みなさんこんにちは。
歯科衛生士の飯沼です。
前回型取りが無事に終わり、新しい リテーナー(保定装置)を受け取りました!
娘は上がブルー下がクリアのカラーを選びとても嬉しそうでした。

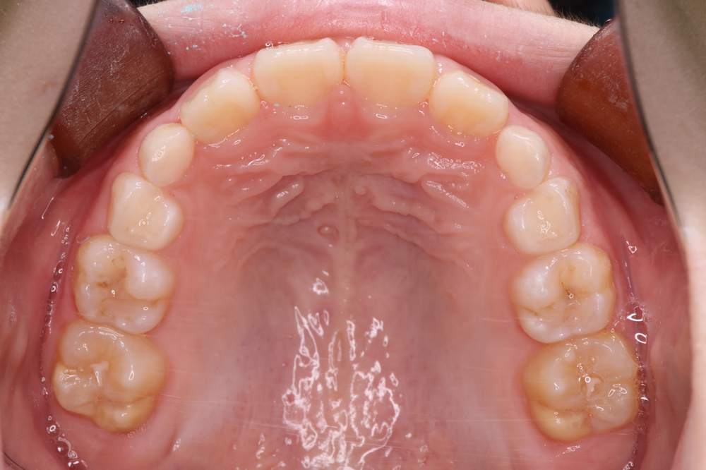
【上のリテーナー】

【下のリテーナー】
これからは、今きれいに動いた歯並びが後戻りしないようにキープする期間に入ります。
娘曰くリテーナーはアライナーより固めだけど、
取り外しも簡単だし付けてみると違和感はそこまで強くないとの事。
使用時間も寝ている時だけになったので
「これなら続けられそう!」と本人も前向きで何よりです。
ここからは“仕上がったスペースを守る”とても大事なステップなので、
これからもしっかり様子を見てサポートしていきたいと思います。
インビザラインファーストの第一期治療を終えて感じたことは
・アライナーは見た目のストレスが少なく、子どもでも取り組みやすかった
・少しずつ歯が動いていくのを見るのが嬉しくて、モチベーションにつながった
・着脱可能なのでブラッシングは今まで通りでき、清潔を保ちやすかった
・保定期間は大切なので、ここからが本番という気持ちで続けていきたい
インビザラインファーストはまだ「第一期」なので、
永久歯が生えそろってから必要に応じて第二期治療に進む可能性もあります。
ですが、早めにスタートしたことで、歯並びの土台作りがしっかりできたと実感しています。

【上の歯】

【下の歯】
これからリテーナー生活を続けながら、
第一期治療で獲得した上の写真のスペースをしっかり保ち、
娘の歯の成長を温かく見守っていきたいと思います。
最後までお読みいただきありがとうございました。









