インビザライン治療例
インビザラインは、「出っ歯」「受け口」「開口」「すきっ歯」
「歯並びがガタガタな方」など、ほとんどの歯並びに対して治療が可能です。
こちらのページでは、当院でインビザライン治療を行われた患者さまの症例をご紹介いたします。
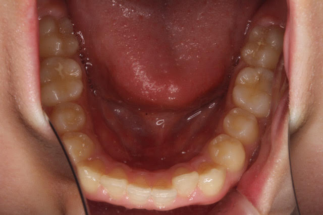
患者さまAさん
Before



After



患者さまBさん
Before



After



患者さまCさん
Before



After



患者さまDさん
Before



After



患者さまEさん
Before
.jpg?20250217115057)
.jpg?20250217115057)
.jpg?20250217115057)
After
.jpg?20250217115057)
.jpg?20250217115057)
.jpg?20250217115057)
患者さまFさん
Before
.jpg?20250217115057)
.jpg?20250217115057)
.jpg?20250217115057)
After
.jpg?20250217115057)
.jpg?20250217115057)
.jpg?20250217115057)